科室动态
【青年英才】yabo正网 血管外科医学博士孔祥骞:您的高血压放个支架就可能解决

如果是肾动脉狭窄,该怎么治那?放个支架就能治疗!您没有看错!
yabo正网 血管外科主治医师孔祥骞为您细说分明~

孔祥骞 中共党员,医学博士,yabo正网 血管外科主治医师,yabo正网 首批“青年英才计划”入选人员。兼任国家自然科学基金评审专家,国际血管联盟(IUA)中国分部血管外科分会血管创伤专家委员会委员兼秘书,中国医师协会腔内血管学专业委员会血管创伤专家委员会委员兼秘书,中国微循环学会周围血管疾病专业委员会血栓防治专家委员会委员,山东省医师协会血管外科医师分会委员,山东省医师协会血管外科医师分会青年委员会委员兼秘书。长期从事血管外科疾病的临床及科研工作,目前以第一作者和通讯作者发表SCI论文6篇,以负责人身份主持国家自然科学基金2项(青年项目1项,国际及地区合作项目1项),山东省自然科学基金1项。获山东省科技创新成果奖三等奖1项。
肾动脉狭窄是由于什么原因引起的?
与心脏以及大脑等其他部位的血管相类似,大多数的肾动脉狭窄是由动脉粥样硬化(血管内壁硬化和狭窄)引起的。高血脂、高血压、年龄、吸烟、糖尿病都是动脉粥样硬化的危险因素,都可能引起肾动脉狭窄。

肾动脉狭窄还有几种少见原因,如血管的纤维肌性发育不良(血管内壁增厚导致的血管狭窄)、动脉炎(血管的炎症)或夹层(血管壁撕裂和分离)。
肾动脉狭窄的有哪些临床表现?
1、对治疗反应不佳的高血压;
2、严重的高血压发生于30岁以下或50岁以上;
3、偶然发现(通过常规试验或其他情况下的检测发现)一侧肾脏小于正常大小;
4、通常单侧肾动脉狭窄可能与高血压有关,而双侧肾动脉狭窄常与肾功能减弱有关。

肾动脉狭窄会导致什么问题?
肾脏血流量的减少会引发一系列复杂的激素反应,称为肾素-血管紧张素-醛固酮系统。这种激素本来是对抗低血压和低循环血量的发生,例如休克时,肾脏感觉到循环血液减少,随之血液中血管紧张素-2水平升高,导致肾脏小血管收缩,与血液中醛固酮水平升高(另一种激素)一起促进肾脏把水和钠都保留住。因此,这种激素系统对由上述的血容量不足或血压降低所引起的肾脏血流量减少起保护性作用。但是这种正常的激素反应会在肾动脉狭窄时变得异常(病理性),因为此时全身血液量正常,但流经肾脏的血流量仍较少,便产生一种循环血量减少的错误信号。因此,通过刺激血管紧张素-2和醛固酮的生成,减少肾血流量,可能导致血压异常升高(肾血管性高血压),高血压产生了对心、脑、血管等脏器的损伤。


如何诊断肾动脉狭窄呢?
最简单的诊断办法是进行多普勒超声检查,彩超省时、无创、经济,可初步筛查出肾动脉狭窄。

右季肋部斜切面 CDFI 声像图显示肾动脉中段管腔明显细小(箭头),血流呈花色
如果想更进一步的观察病变部位和程度,需要进行强化CT检查。

CT显示双侧肾动脉狭窄
CT可以看到双侧肾的大小、肾动脉狭窄的位置及程度、肾动脉开口的位置,便于制定处理方案。如果患者肾功能不好,进行CT血管造影则存在使患者病情恶化的风险。

肾动脉狭窄引起肾脏体积缩小
磁共振血管造影(MRA)因耗时时间长、价格较昂贵,相对较少应用,但它可能用于轻度至中度但不严重的肾脏疾病患者,以避免造影剂带来的肾功能损伤。

肾动脉血管造影是检测肾血管狭窄程度的最佳检查方法。但是它是侵入性检查(将导管插入体内),一般和治疗同步进行。

造影显示肾动脉重度狭窄
哪些肾动脉狭窄需要手术,可采用哪些治疗手段?
一旦筛查出肾动脉异常,在肾功能正常的前提下建议进行强化CT检查,如果CT显示有70%及以上的肾动脉狭窄被称为可治疗的肾动脉狭窄。当肾动脉狭窄大于70%时,机体即使提高血压也不能满足肾脏供血,最终影响肾功能。
在介入技术没有成熟前,肾动脉狭窄需要通过开腹搭桥来解决,手术创伤大,难度高,住院时间长。随着介入技术的发展,目前只需要在大腿根开一个3mm的刀口就能解决问题,手术后一天患者就可以出院,极大方便了患者。

开放手术搭桥治疗肾动脉狭窄
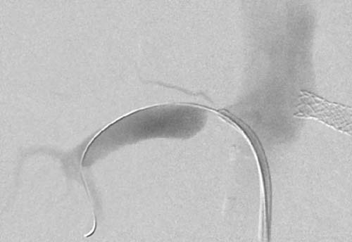
通过血管造影可进一步明确诊断,如发现重度狭窄,在导丝的导引下,一个微小的气囊在动脉的内部(腔)膨胀以扩张狭窄的动脉。


导丝通过病变,球囊扩张过程
此外,作为血管成形术流程的一部分,可将支架(用于防止狭窄复发的管状装置)置于动脉中。


肾动脉造影+支架植入术
支架植入后,肾动脉狭窄消失,肾脏的血流得到明显的改善,促使血压升高的激素分泌便减少了,血压也就低下来了。所以说如果您的高血压长时间难以控制,可以做个肾动脉彩超筛查一下,进行相应的治疗后,也许以后不用吃这么多,甚至不用吃降压药了。




