医院动态
一发热就腿疼,省医团队齐上阵,发现竟是特殊感染——省医皮肤科带你寻根溯源
发热很常见、腿疼也常见,但这一发热大腿就肿痛的毛病,却把李女士反复折腾了一年多,感叹自己如同长了一条“火腿”!

李女士因“右侧大腿内侧红肿热痛1年,加重2个月”到省立医院皮肤科就诊。李女士一年前无显著诱因出现低热(37.4℃),后在右侧大腿内侧出现疼痛性红斑。当地医院考虑是“丹毒”,抗炎治疗可短暂好转,但很快就发展为高热(38.5-38.9℃)。
此后一年,李女士先后在多家医院住院5次,使用过地塞米松、阿莫西林、青霉素、哌拉西林、莫西沙星、泼尼松、艾普拉唑等药物治疗,均无法控制病情,体温“稳中有升”,红斑也“从未褪去”,期间还发生过腹泻、荨麻疹、淋巴结肿大等伴随症状,身体每况愈下。长期的高热导致李女士虚脱,最后已无法长期站立,坐着轮椅来到省立医院皮肤科就诊。
皮疹之下另有乾坤
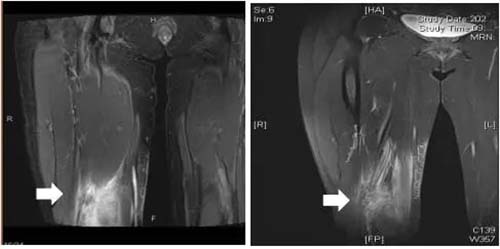
接诊李女士的是皮肤科党宁宁教授。初看皮疹,党宁宁教授发现李女士右侧股内侧浸润性红斑(图2),伴中度硬肿和皮温升高,触痛明显。红肿的皮面,更像是从内向外“洇”出来的。磁共振显示李女士股内侧肌间隙水肿信号(图3)。

图2 右侧大腿浸润性红斑

图3 MR提示右股肌肉间隙水肿信号
是偶然还是巧合?
询问病史:李女士除了一年前发生过大腿皮疹以外,4年前曾在“月经期”因 “吊丧”在室外地上跪拜,回家后在右大腿侧出现过红斑和低热,但经过 “地米、头孢”治疗3天后便好转消退,四年来未有反复。这引起了党宁宁教授的警觉,四年前与本次发病位置相同,症状相同,其中是否存在联系呢?
诊疗经过:经检查在排除自身免疫性疾病、肿瘤、血液系统疾病后,党宁宁教授依然倾向感染诊断,给予口服复方磺胺甲恶唑、盐酸米诺环素、伊曲康唑治疗,未见明显改善,给予伏立康唑注射剂治疗后,李女士出现一过性黄视,全身红斑伴高热(体温39.4℃)后停用。仅维持给予复方磺胺甲恶唑片及静脉丙种球蛋白治疗。值得注意的是,患者伴有自然杀伤细胞(NK)及T淋巴细胞计数下降,与本病是否有关?
集思广益 多学科疑难病例讨论
为了找出“真凶”,皮肤科组织血液科、呼吸与危重症医学科、风湿免疫科、感染性疾病科、骨关节科、医学影像科、病理科等科室专家进行多学科联合会诊(MDT)。
各科专家研讨后表示,根据临床检查数据分析,仍考虑李女士为皮肤及皮下软组织感染,因病程长达1年未出现脓肿且扩散缓慢,考虑是由低致病性病原体引起。针对李女士使用多种抗生素治疗无效,指向特殊感染,建议多点位取肌肉及淋巴结做高通量测序(NGS)以及组织培养。NK及T细胞计数下降考虑免疫缺陷,可行全外显子测序(WES)检查。
拨云见日
根据各科专家的指导性意见,皮肤科对李女士进行了相关的补充性检查,淋巴结NGS找到星形诺卡菌(图5)。外周血WES测序:李女士脂多糖反应性米色样锚蛋白(LRBA)基因突变。

图5 淋巴结NGS星形诺卡菌
由此确定李女士是一例星型诺卡菌感染,LRBA基因突变可能是其发病基础。皮肤科持续使用复方磺胺甲恶唑及丙种球蛋白治疗。治疗第9天,李女士体温降至正常再无发热,红斑也逐渐消退(图6-8)。出院后,科室随访半年无复发。

图6 治疗2周后右大腿红斑消退

图7 治疗1月后肌间水肿信号显著降低

图8 治疗1月后腹股沟淋巴结显著减小
科普来啦
星形诺卡菌(图9)是一种少见的革兰阳性需氧放线菌,其广泛存在于世界各地的土壤、腐烂蔬菜和水生环境中,最常见感染方式是被吸入,也可通过皮肤破口或口腔感染皮肤组织和胃肠道,其潜伏期可长达4年,进程缓慢,是一种机会性致病菌,免疫缺陷患者与免疫抑制药物的使用是导致机会性感染的重要原因,复方磺胺甲恶唑治疗有效。李女士4年前发病并非偶然,LRBA基因突变引起的NK/T细胞下降,是导致本例星型诺卡菌反复发作的关键。

图9 星形诺卡菌
文章来源:郭静,党宁宁,孙志坚。右侧股内侧红斑伴发热1年余[J]。老年医学研究,2022,3(4):60-64。


